百泰派克生物科技:蛋白胶条鉴定客户案例

24 阅读2分钟

20230310-1534-mceu_61819381911678439253120.png

期刊:Molecular Cancer Research;影响因子:6.7502

原文链接:DOI: 10.1158/1541-7786.MCR-22-0333

研究对象:致癌受体HER2家族

研究目的:探究HER2细胞内运输的关键调节因子及其对癌症恶化的影响

研究手段:质谱技术、蛋白质组学等

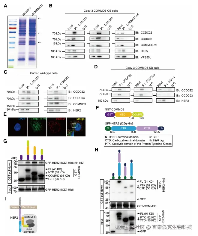
研究内容及结论:致癌受体的内吞运输失调,比如EGFR家族,尤其是HER2家族,有助于下游致癌信号不受控制的激活和各种癌症的恶化,包括90%的卵巢癌(OC)。然而,HER2细胞内运输的关键调节因子及其对癌症恶化的影响在很大程度上仍然未知。在这项研究中,通过全基因组CRISPR/Cas9筛选影响OC腹膜播散性转移的关键基因,作者确定了COMMD家族的成员,即COMMD3,作为HER2内体运输的关键调节因子。在高级别浆液性卵巢癌(HGSOC)患者中,与原代OC细胞相比,腹膜播散性OC细胞中COMMD3的表达显着降低。COMMD3极大地抑制了HGSOC细胞的增殖、迁移和上皮-间质转化(EMT),并显著抑制了HGSOC原位鼠模型中肿瘤生长、恶性腹水的形成和癌细胞的腹膜播散。进一步的转录组分析显示,沉默COMMD3可以促进HER2下游信号通路的激活。作为识别和循环膜受体的逆转录因子相关的COMMD/CCDC22/CCDC93复合体中的一个组分,COMMD3与HER2在物理上相互作用,引导其进入缓慢的循环途径,导致下游促肿瘤信号减弱。总的来说,这项研究揭示了一种新型HER2灭活机制,对新型OC的临床诊断和新治疗策略的设计具有很高的价值。

20230310-4772-mceu_483012609921678439271438.png

利用质谱技术鉴定HER2细胞内运输的关键调节因子,将沉默COMMD3导致染色更强烈的三条大小为170 KDa、55 kDa和35 KDa的蛋白条带用于质谱分析,结果显示,包括HER2在内的几种受体酪氨酸激酶能够受到COMMD3的影响,这与转录组分析的结果一致,这些结果强烈表明,COMMD3直接与HER2相互作用,以实现其内吞体运输。

参考文献:Wang S, Liu Y, Li S, et al. COMMD3-mediated endosomal trafficking of HER2 inhibits the progression of ovarian carcinoma[J]. Molecular Cancer Research, 2022.