【客户高分文章:IF40.8】外泌体传递促焦亡miRNA--驱动心脏损伤的肇事因子

79 阅读7分钟

头图.png

英文标题: Exosomal transfer of pro-pyroptotic miR-216a-5p exacerbates anthracycline cardiotoxicity through breast cancer-heart pathological crosstalk

中文标题: 外泌体转移的促细胞焦亡 miR-216a-5p 通过乳腺癌 - 心脏病理交互作用加剧蒽环类药物的心脏毒性****

发表期刊: Signal Transduction and Targeted Therapy

研究思路:

[ 导读]

乳腺癌是全球女性健康的主要威胁,而现如今乳腺癌的治疗方式已经显著进步。对于接受化疗的乳腺癌患者,她们往往会遇上新的困境,面临来自心血管疾病(CVD)的并发症的威胁。化疗药物可诱导各种形式的心脏毒性,包括急性和延迟性毒性,表现为心力衰竭、高血压、心律失常、心包炎和其他心脏疾病。其中,阿霉素诱导的心脏毒性(DOXIC)是最具代表性和临床意义的。阿霉素(DOX)是一种广泛应用于临床的蒽环类抗生素抗肿瘤药物,对包括乳腺癌、白血病和淋巴瘤在内的多种恶性肿瘤具有显著疗效。

为了能够更好的探究如何减轻阿霉素致的心脏毒性,华中科技大学同济医学院附属协和医院心血管外科团队与解放军总医院团队通过构建体外共培养模型,体内动物模型,结合生物信息学手段解析分子机制,进行临床验证等手段发现miR-216a-5p是 DOXIC的关键介质,其受到转录因子ATF3和剪接因子SF3B4的双重调控,并通过 ITCH/TXNIP/NLRP3 轴诱导心肌细胞焦亡。纽科生物团队在这项工作中负责外泌体miRNA的测序分析工作,接下来我们来看看这项工作具体是如何进行的。

 原文链接:

www.nature.com/articles/s4…

[ 建立体外共培养模型]

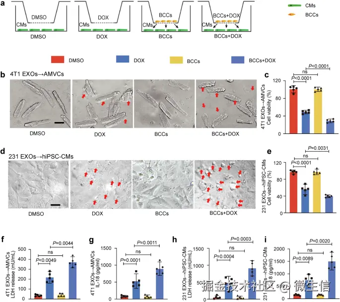
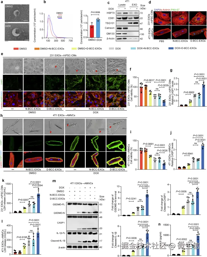
在这项工作中,首先进行了体外共培养实验,将 DOX 处理的乳腺癌细胞(BCCs)与成年小鼠心室肌细胞(AMVCs)共培养。由BCCs作为外泌体的供体,而AMVCs作为外泌体的受体。在共培养实验中,明显的发现AMVCs细胞活性下降,而使用 GW4869 抑制外泌体分泌或敲低外泌体分泌相关基因 Rab27a 后,上述效应被显著逆转。这说明外泌体在DOX诱导的毒性机制中起到重要作用。接着用分离外泌体(D-BCC-EXOs)处理AMVCs,发现焦亡率显著上调,而 miR-216a-5p 抑制剂可部分逆转这一效应。于是作出了miR-216a-5p可能对细胞焦亡途径起到重要作用的假设。

图片1.png

图1.与乳腺癌细胞共培养会加剧阿霉素诱导的心肌细胞焦亡。

[miR-216a-5p 的功能验证]

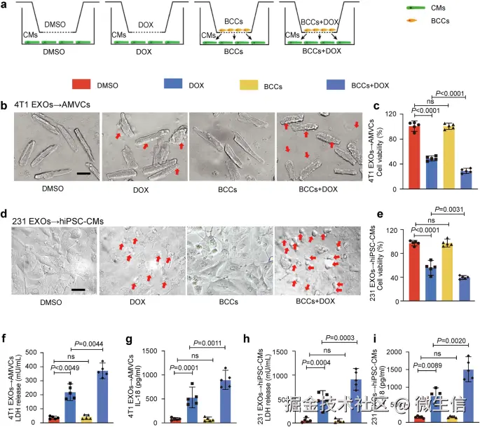
 为了验证体外共培养实验的猜想,研究团队联合纽科生物进行了miRNA测序分析,通过测序对比D-BCC-EXOs与对照组BCC-EXOs的 miRNA 表达谱,发现 14 种显著上调的 miRNAs,其中miR-216a-5p表达量最高且最具统计学差异。而在临床上,乳腺癌患者接受 DOX 治疗后,血浆外泌体 miR-216a-5p 水平显著升高,且与心肌损伤标志物 cTnI 浓度呈正相关。在共培养模型中,过表达 miR-216a-5p 模拟物显著降低 AMVCs 活力,增加 LDH 释放和焦亡相关蛋白的表达;而敲低则减轻 D-BCC-EXOs 诱导的心肌细胞损伤。三管齐下,可以得出miR-216a-5p是DOXIC的关键miRNA的结论。

图片2.png

图2. miR-216a-5p的多角度功能验证

[miR-216a-5p 上下游信号通路探索]

接着,研究团队基于miR-216a-5p探索其上下游通路。通过JASPAR数据库进行分析,预测到ATF3与miR-216a的启动子区域存在高评分的结合位点。之后通过了荧光素酶报告基因实验和CHIP-PCR实验,发现ATF3和miR-216a的启动子直接结合。

除了,ATF3以外,通过RBPBD数据库分析,发现SF3B4,VTS1,ACO1可能与miR-216a-5p相互结合,其中SF3B4为候选蛋白。通过RNA Pull-down的方法,野生型的探针能够捕获SF3B4,而突变型则丧失结合能力,证明了SF3B4可以和miR-216a-5p直接结合。EMSA实验更是进一步的发现,确认了SF3B4会与miR-216a-5p上的CUGUGA序列特异性结合。研究团队发现并验证了miR-216a-5p的上游通路,揭示了其是如何被ATF3和SF3B4双重调控的。

针对下游通路,整合了miRDB,miRWalk,RNA22等六个数据库,筛选出了39个候选靶点。和研究上游通路一样,通过荧光素酶报告基因实验和免疫共沉淀实验发现,miR-216a-5p可以抑制ITCH的表达并减少 TXNIP 泛素化。再逆向通过敲除ITCH或TXNIP发现由miR-216a-5p诱导的心肌细胞焦亡发生了逆转现象。

通过这些方法,研究团队得到了一条SF3B4/ATF3→miR-216a-5p→ITCH/TXNIP的信号通路,提出了一条完整的由外泌体诱导的心肌细胞损伤的机制,为减少DOXIC带来了新的可能性以及新的治疗靶点。。

图片3.png

图3. 22个关键因子经算法形成的PPI网络

[ 小鼠动物模型验证miR-216a-5p信号通路]

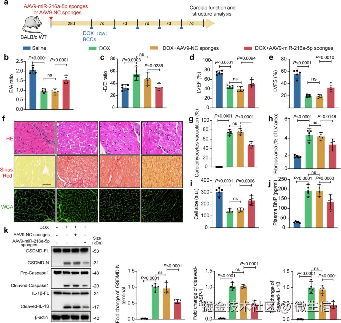
在通过共培养模型得出miR-216a-5p信号通路之后,本文构建了乳腺癌小鼠的病理模型。将特异性表达 miR-216a-5p 海绵体的 AAV9 载体注射到乳腺癌小鼠中,通过各种检测发现导致小鼠心肌组织焦亡的相关蛋白的表达被抑制。同时也进行了周期实验,发现在乳腺癌发展至2周左右时,能够有效的逆转心脏功能的下降,提示了早起干预的重要性。

图片4.png

图4. 枢纽因子在小鼠模型的表达

[ 总结]

本研究在乳腺癌的治疗上作出了巨大的突破。这项工作通过生物信息学和动物实验相结合的方法首次证实了外泌体介导的肿瘤 - 心脏跨器官致病通路,其中发现的标志外泌体 miR-216a-5p 是 DOXIC 的关键介质,其水平可作为预测心脏毒性的生物标志物。其次这项工作揭示了一条完整的由外泌体miR-216a-5p介导的信号通路:ATF3/SF3B4 轴调控 miR-216a-5p 的生成与包装,为阻断外泌体病理效应提供上游靶点;ITCH/TXNIP/NLRP3作为下游信号节点,于心脏损伤直接相关。而这条信号通路在动物模型上有效意味着很快就可以进入临床阶段。这些成果为化疗相关心脏毒性的防治开辟了新领域,有望推动 “肿瘤-心脏”跨器官调控的精准治疗策略发展。

微生信助力高分文章,用户300000+,谷歌学术6400+