「电子果蝇」惊动马斯克!背后是13万神经元全脑图谱,可在电脑上运行

2,822 阅读4分钟
夕小瑶科技说 分享
作者 | 鱼羊、克雷西
来源 | 量子位

脑科学研究又进一大步!

来自普林斯顿的科学家最新宣布,他们已经成功创建了首个成年体动物的全脑连接体图谱

其中包含来自雌性黑腹果蝇大脑的130000个带注释的神经元,以及它们之间的数千万个化学突触

640 (2).gif 更重要的是,数据是完全开放的,还能一键查询。

只需要在Codex这个网站上输入相关信息,每个神经元的连接性、大小、神经递质等信息都能尽收眼底。

包括直观的3D模型。

640 (1).gif

这项研究一经发布,就吸引到大量关注。

英伟达AI科学家范麟熙(Jim Fan)就转发点赞:

令人着迷的是,普林斯顿大学的这项研究中,蕴含着大自然的注意力、工作记忆甚至基本意识算法。

将神经连接体视作已编译的可执行二进制文件,我们可以从完整的大脑模拟中反编译出多少源代码?

不仅如此,果蝇的大脑结构还对机器学习有着重要启发。

已经有人在电脑上跑了一下这个模型,模拟了果蝇吃东西和梳理触角的过程。

马斯克也关注到了这只“电子果蝇”,并感觉事情开始变得奇怪起来了。

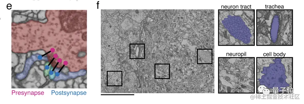
通过电镜图像绘制

研究团队重建了雌性黑腹果蝇大脑完整连接体图谱。

不同于传统的切片方式,图谱中的信息主要是从电镜照片中获得的。

这些电镜照片来自Zheng和Lauritzen等人于2018年发布的FAFB(full adult fly brain)数据集。

电镜照片的分辨率可以清晰地看到蛋白质分子,经过计算机分析就能得出有关信息。

尺寸仅为0.1毫米量级的果蝇大脑拥有上亿个突触,比哺乳动物的突触还要密集。

果蝇大脑中的神经被分成9个大类、31个小类,划分了78个区域。

640 (3).gif

这九个大类是在将神经元按照信息流向分为三个部分的基础上继续划分得到的。

通过与光学显微镜下的神经结构进行对比,团队建立的模型准确性得到了初步验证。

进一步地,数值计算和人工抽样检查结果也证明了模型是准确的。

此外,通过统计学分析,团队还对神经元之间的神经递质成分进行了预测,且准确率很高。

研究团队还分析了果蝇眼部的神经回路,追踪了信息流从输入神经元到输出神经元传递的过程。

尽管输入和输出神经元的数量在神经系统中占据的比重很小,但它们是沟通大脑和外界的桥梁。

在这一过程中,团队使用了一种概率模型,分析从种子神经元开始的信息流。

团队针对每一个种子神经元进行了遍历,测量了信息传到神经中枢再到传出神经的过程。

遍历过程中信息传递所经过的距离被排序,然后进行归一化处理。

这一过程帮助研究人员确定了不同类型的传入信息是如何向相对应的神经中枢传递的,结果与预期相吻合。

花费4年时间打造

值得一提的是,从成年果蝇完整大脑数据(FAFB)到完整构建出成年果蝇的大脑图谱,研究人员一共花费了194周,也就是4年左右的时间。

640 (4).gif

而在此背后,这个名为FlyWire的项目得到了超过200名社区成员的贡献支持。

官网信息显示,FlyWire是一个人类-AI协作项目,旨在重建果蝇的全脑连接体。具体而言,FlyWire由普林斯顿大学的Mala Murthy和Sebastian Seung实验室创建,社区由神经生物学家、计算机科学家和校对人员组成。

通过将神经元连接和大脑功能联系起来,我们可以在理解大脑如何工作这件事上取得重大进展。

参考资料

[1]https://www.biorxiv.org/content/10.1101/2023.06.27.546656v1.full.pdf
[2]https://www.biorxiv.org/content/10.1101/2023.06.27.546055v1.full.pdf
[3]https://www.biorxiv.org/content/10.1101/2023.05.02.539144v1.full.pdf

大模型AI全栈手册

行业首份AI全栈手册开放下载啦!!

长达3000页,涵盖大语言模型技术发展、AIGC技术最新动向和应用、深度学习技术等AI方向。微信公众号关注“夕小瑶科技说”,回复“789”下载资料

[图片]