【C++】支持CT、彩色超声、内窥镜检查的医院影像PACS(三维重建技术)

215 阅读4分钟

首先,PACS影像存取与传输系统以实现医学影像数字化存储、诊断为核心任务,从医学影像设备(如CT、CR、DR、MR、DSA、RF等)获取影像,集中存储、综合管理医学影像及病人相关信息,建立数字化工作流程。

影像中心.png

其次,PACS系统可实现检查预约、病人信息登记、计算机阅片、影像处理、电子报告书写、胶片打印、数据备份等一系列满足影像科室日常工作的功能。它以灵活的适应性和强大的扩展性为基础,以高效稳定为核心优势,充分结合国内外医学影像技术的发展趋势,遵循DICOM3.0,IHE,HL7等为国际标准开发而成。

PACS系统作用_1.png

一、彩色超声检查

彩色超声检查是一种利用彩色图像技术进行诊断的方法,它通过将黑白超声图像与彩色信号叠加,形成彩色图像,以提供更丰富的血流动力学信息。

彩色超声检查通常采用多普勒效应原理,通过测量红细胞速度和方向,以确定血流的方向和速度。检查过程中,医生会将探头放置在患者体表,通过图像显示屏观察彩色图像。

3_副本.png

5_副本.png 彩色超声检查广泛应用于各个领域,如心血管科、妇产科、外科等。在心血管科中,彩色超声检查能够评估心脏的功能和血流状态,有助于诊断各种心血管疾病;在妇产科中,彩色超声检查能够清晰地显示胎儿的发育情况,有助于判断是否存在异常;在外科中,彩色超声检查可用于评估术后血流状况,指导手术治疗。

除了应用于疾病诊断,彩色超声检查还在产前检查和健康检查等方面发挥重要作用。在产前检查中,彩色超声检查能够评估胎儿的发育情况和血流状态,判断是否存在异常;在健康检查中,彩色超声检查可用于评估器官功能和血流状态,预防和治疗疾病。

彩色超声检查是一种无创、安全、准确的诊断方法,对于各种疾病的诊断和治疗具有重要意义。

二、内窥镜检查

内窥镜检查是一种通过使用内窥镜装置进入人体内部进行观察和诊断的方法。内窥镜可以从不同部位进入人体,如口腔、鼻腔、尿道等。

内窥镜检查通常使用光学仪器和摄像设备,将人体内部的结构和病变部位显示在屏幕上。在检查过程中,医生使用内窥镜通过对图像的观察,评估病变部位的情况。

三维虚拟内窥镜_副本.png

临床医生工作站.png 内窥镜检查广泛应用于临床诊断和治疗中,如消化道、呼吸系统、泌尿系统等。在消化道中,内窥镜检查可用于评估食管、胃、肠道等部位的病变;在呼吸系统中,内窥镜检查可用于评估肺部和气管的病变;在泌尿系统中,内窥镜检查可用于评估肾脏、膀胱、尿道等部位的病变。

内窥镜检查是一种无创、安全、准确的诊断方法,对于早期发现和诊断病变,以及指导治疗和手术具有重要意义。

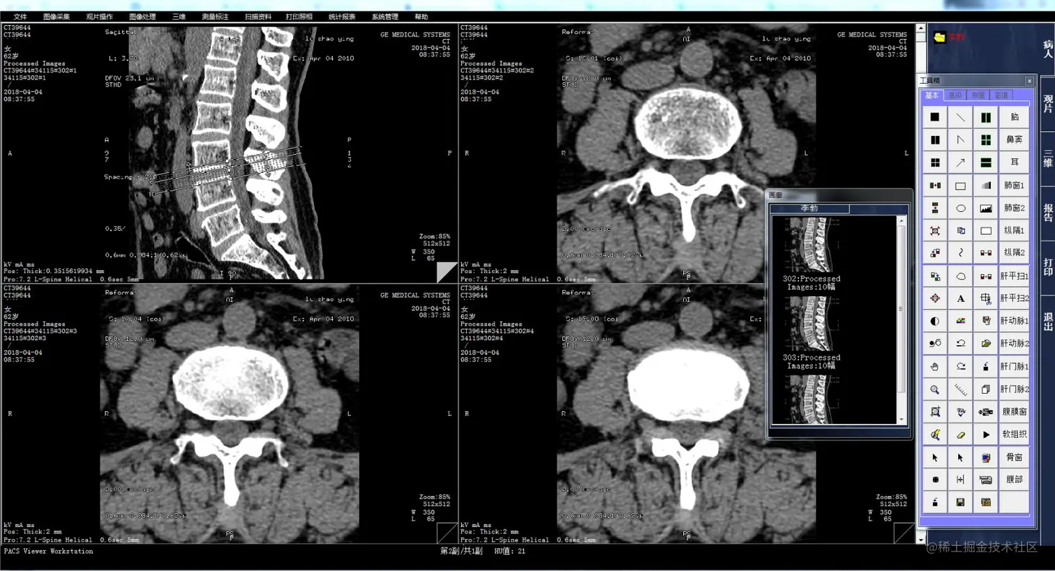
三、CT检查

CT检查(Computed Tomography,计算机断层扫描)是一种利用X射线进行断层扫描的医学影像诊断方法。它通过在不同角度发射X射线,利用计算机重建人体的断层图像,以检测病变和损伤。

CT检查通常采用横断面扫描,可以在不同层面上进行扫描,以获取更精确的图像。与传统的X射线相比,CT检查能够提供更高质量的图像,并能够更准确地诊断病变和损伤。

病人预约登记2.png

三维表面重建.png CT检查广泛应用于临床诊断和治疗中,如头部、胸部、腹部等。在头部检查中,CT检查能够检测脑出血、脑梗塞、脑肿瘤等病变;在胸部检查中,CT检查能够检测肺结节、肺栓塞、肺癌等病变;在腹部检查中,CT检查能够检测肝、胆、胰、脾等器官的病变。

CT检查是一种无创、安全、准确的诊断方法,对于早期发现和诊断病变,以及指导治疗和手术具有重要意义。同时,CT检查也能够提供更多的信息,如病变的大小、形态、位置、密度等,以帮助医生更准确地诊断和治疗疾病。