26基于最小误差法的胸片分割系统【Matlab】

333 阅读3分钟

说明

最小误差法

最小误差阈值分割法是根据图像中背景和目标像素的概率分布密度来实现的,其思想是找到一个阈值,并根据该阈值进行划分,计算出目标点误分为背景的概率和背景点误分为目标点的概率,得出总的误差划分概率。 当总的误差划分概率最小时,便得到所需要的最佳阈值。

胸片分割

胸片是诊断肺部疾病的有效筛查工具。在计算机辅助诊断中,提取相关的感兴趣区域,即分离每个放射成像图像的肺部区域,可能是提高肺部疾病诊断性能的重要步骤。

运行结果

image.png

image.png

image.png

image.png

源代码

clc; clear all; close all;

warning off all;

% 读取图像

filename = fullfile(pwd, 'images/test.jpg');

Img = imread(filename);

% 灰度化

if ndims(Img) == 3

I = rgb2gray(Img);

else

I = Img;

end

% 直接二值化

bw_direct = im2bw(I);

figure; imshow(bw_direct); title('直接二值化分割');

% 圈选胃区域空气

c = [1524 1390 1454 1548 1652 1738 1725 1673 1524];

r = [1756 1909 2037 2055 1997 1863 1824 1787 1756];

bw_poly = roipoly(bw_direct, c, r);

figure;

imshow(I, []);

hold on;

plot(c, r, 'r-', 'LineWidth', 2);

hold off;

title('胃区域空气选择');

% 设置胃内空气为255

J = I;

J(bw_poly) = 255;

% 图像增强

J = mat2gray(J);

J = imadjust(J, [0.532 0.72], [0 1]);

J = im2uint8(mat2gray(J));

figure; imshow(J, []); title('图像增强处理');

% 直方图统计

[counts, gray_style] = imhist(J);

% 亮度级别

gray_level = length(gray_style);

% 计算各灰度概率

gray_probability = counts ./ sum(counts);

% 统计像素均值

gray_mean = gray_style' * gray_probability;

% 初始化

gray_vector = zeros(gray_level, 1);

w = gray_probability(1);

mean_k = 0;

gray_vector(1) = realmax;

ks = gray_level-1;

for k = 1 : ks

% 迭代计算

w = w + gray_probability(k+1);

mean_k = mean_k + k * gray_probability(k+1);

% 判断是否收敛

if (w < eps) || (w > 1-eps)

gray_vector(k+1) = realmax;

else

% 计算均值

mean_k1 = mean_k / w;

mean_k2 = (gray_mean-mean_k) / (1-w);

% 计算方差

var_k1 = (((0 : k)'-mean_k1).^2)' * gray_probability(1 : k+1);

var_k1 = var_k1 / w;

var_k2 = (((k+1 : ks)'-mean_k2).^2)' * gray_probability(k+2 : ks+1);

var_k2 = var_k2 / (1-w);

% 计算目标函数

if var_k1 > eps && var_k2 > eps

gray_vector(k+1) = 1+w * log(var_k1)+(1-w) * log(var_k2)-2*w*log(w)-2*(1-w)*log(1-w);

else

gray_vector(k+1) = realmax;

end

end

end

% 极值统计

min_gray_index = find(gray_vector == min(gray_vector));

min_gray_index = mean(min_gray_index);

% 计算阈值

threshold_kittler = (min_gray_index-1)/ks;

% 阈值分割

bw__kittler = im2bw(J, threshold_kittler);

% 显示

figure; imshow(bw__kittler, []); title('最小误差法分割');

% 形态学后处理

bw_temp = bw__kittler;

% 反色

bw_temp = ~bw_temp;

% 填充孔洞

bw_temp = imfill(bw_temp, 'holes');

% 去噪

bw_temp = imclose(bw_temp, strel('disk', 5));

bw_temp = imclearborder(bw_temp);

% 区域标记

[L, num] = bwlabel(bw_temp);

% 区域属性

stats = regionprops(L);

Ar = cat(1, stats.Area);

% 提取目标并清理

[Ar, ind] = sort(Ar, 'descend');

bw_temp(L ~= ind(1) & L ~= ind(2)) = 0;

% 去噪

bw_temp = imclose(bw_temp, strel('disk',20));

bw_temp = imfill(bw_temp, 'holes');

figure;

subplot(1, 2, 1); imshow(bw__kittler, []); title('待处理二值图像');

subplot(1, 2, 2); imshow(bw_temp, []); title('形态学后处理图像');

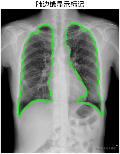
% 提取肺边缘

ed = bwboundaries(bw_temp);

% 显示

figure;

subplot(2, 2, 1); imshow(I, []); title('原图像');

subplot(2, 2, 2); imshow(J, []); title('增强图像');

subplot(2, 2, 3); imshow(bw_temp, []); title('二值化图像');

subplot(2, 2, 4); imshow(I, []); hold on;

for k = 1 : length(ed)

% 边缘

boundary = ed{k};

plot(boundary(:,2), boundary(:,1), 'g', 'LineWidth', 2);

end

title('肺边缘显示标记');

figure;

subplot(1, 2, 1); imshow(bw_temp, []); title('二值图像');

subplot(1, 2, 2); imshow(I, []); hold on;

for k = 1 : length(ed)

% 边缘

boundary = ed{k};

plot(boundary(:,2), boundary(:,1), 'g', 'LineWidth', 2);

end

title('肺边缘显示标记');