Mimics医学建模学习笔记

435 阅读1分钟

也是前不久开始学习CT三维建模,找了好些建模方法,后来还是采用了Mimics软件平台进行CT三维建模。以下分享下用到的一些资料。

mimics 16软件压缩包及安装方法百度云:

链接:pan.baidu.com/s/1hFIrdBfR…    提取码:dz8c 

官方配套mimics 16简单操作视频:

链接:pan.baidu.com/s/19gWkK-1H…    提取码:k2ks 

mimics 19 软件压缩包及安装视频和安装文档教程:
链接:pan.baidu.com/s/1sML-Ysxg…      提取码:uig0 

其它一些mimics的文档教程:

链接:pan.baidu.com/s/1TWtEIq0K…      提取码:c2x7

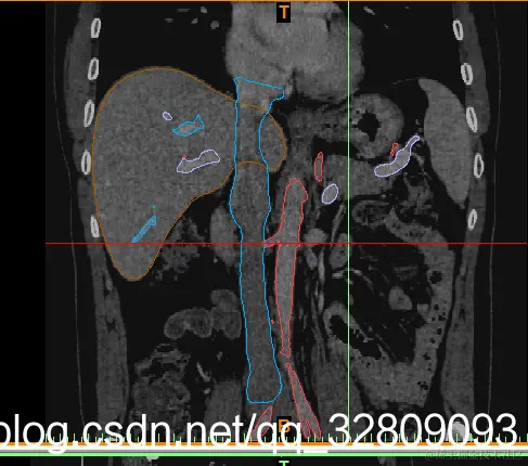
最后建模出来的效果:

股骨:

     

正面图(肝脏+动脉+门静脉+腔静脉)                                反面图                                                          透视图

        

三种视图:

开始在网上买的全套两百多的全套视频教程与配套CT图,考虑到版权问题,就不在这分享了