这个系列之前的文章列表:
- 可能要暂时停更一段时间,希望时间不会太长
- 一个中年程序员遇到突发情况的一些胡言乱语
- 对程序员来说,看透生死远远没有操作0和1那么简单
- 一个程序员眼中的医院人生百态
- 今天,我要在睡梦里,和死神握握手
- 经鼻开颅手术成功了,Jerry脱离了生命危险
- 脑部手术成功,只是万里长征走完了第一步
- 一个程序员经历的7小时全身麻醉
- 今天我拿到了医院发的纸质版手术记录…
文章标题,是上个月手术前一晚的术前沟通环节上,我向我的主刀医生抛出的一个问题。
尽管Jerry在SAP成都研究院也参加过一系列软技能的培训,比如有一门Thought Leadership课程,关于领导力的培训,里面包含了同理心,共情能力,和换位思考的练习。理论我都懂,我也知道,如果此刻我变成了Z医生,有一个病人向我提出这个问题,我也同样很难回答。给病人回答说成功率100% ? 前几年我去医院拔除尽头牙,犹记得当时在一张薄薄的手术风险告知单上签字时,我瞥见大半张纸上,竟然全罗列着术中可能出现的风险和术后可能出现的后遗症。一个小小的拔牙手术,尚且不能保证理论上的100%成功,何况这次的开颅手术呢?如果我面前的Z医生回复我说,“明天你的手术成功率100%” ,在排除了他是出于安慰我的动机才这样回答的可能性后,我可能会质疑他的专业程度。那如果回答说成功率99%或者98% ? 在脑部动刀,一旦出问题,那失败的1% ,**2%**对病人和家属来说就意味着灾难,一旦发生,再也无可挽回。
尽管我清楚地意识到我想提的问题其实不太合理,但我还是忍不住提了出来,只因我是一个俗人:我无法像曾经读过的人物传记里的那些革命烈士一样,面对死亡能够做到视死如归。儿时金庸小说里读到的令狐冲和常遇春面对死亡却处之泰然的场景,此刻又浮现在了我脑海中:
*『 忽听得身后有人喝道:“小子,你还要不要性命?”这声音虽然不响,但相距极近,离他耳朵似不过一两尺。令狐冲一惊回头,已和一人面对面而立,两人鼻子几乎相触,急待闪避,那人双掌已按住他胸口,冷冷的道:“我内力一吐,教你肋骨尽断。”令狐冲心知他所说不虚,站定了不敢再动,连一颗心似也停止了跳动。**那人双目凝视着令狐冲,只因相距太近,令狐冲反而无法见到他的容貌,但见他双目神光炯炯,凛然生威,心道:“原来我死在此人手下。”想起生死大事终于有个了断,心下反而舒泰。*那人初见令狐冲眼色中大有惊惧之意,但片刻之间,便现出一般满不在乎的神情,如此临死不惧,纵是武林中的前辈高人亦所难能,不由得起了钦佩之心,哈哈一笑,说道:“我偷袭得手,制你要穴,虽然杀了你,谅你死得不服!”双掌一撤,退了三步。』
*『 胡青牛点点头,道:“那算不了甚么。你伤势已愈,所减者也不过是四十年的寿算而已。”常遇春不懂,问道:“甚么?”胡青牛道:“依你体魄而言,至少可活过八十岁。但那小子用药有误,下针时手劲方法不对,以后每逢阴雨雷电,你便会周身疼痛,大概在四十岁上,便要见阎王去了。 ” ****常遇春哈哈一笑,慨然道:“大丈夫济世报国,若能建立功业,便三十岁亦已足够,何必四十?要是碌碌一生,纵然年过百岁,亦是徒然多耗粮食而已。” ***胡青牛点了点头,便不再言语了。 (按:《明史·常遇春传》:“(常遇春)暴疾卒,年仅四十。”) 』
Jerry无法和令狐冲以及常遇春相比。上文提到的令狐冲,那时候已经被岳不群逐出华山派,自己钟情的小师妹也早已移情别恋,身上的内伤也被平一指诊断为“无解,必死无疑”,可以说已经走到山穷水尽的地步,他觉得人生已毫无留恋。而常遇春当时已经参加了反元武装队伍,和government对着干,过了今天没明天,心中抱有坚定的推翻元朝的信仰,对于死亡自然也不放在心上。
令狐冲和常遇春两人都是光棍,而我在这世上还有太多的羁绊,还有太多的事情没有去做,还有太多的心愿未了。SAP技术和领域知识,其体系庞大,分支众多,就算我十三年如一日地努力去研习,也不过仅仅熟悉了其中一个微小的分支而已,还有太多的东西等着我去学。我不想一旦手术麻醉后闭上了眼睛,却再也没有机会重新睁开。所以,我向Z医生抛出了文章题目这个问题。
“明天的手术有一定的风险。 ” 这是Z医生回复我的第一句话,却没有正面回答我的问题。接着Z医生具体给我讲述了手术中和术后可能面对的风险,在Jerry之前的文章 今天,我要在睡梦里,和死神握握手 里已经有详细介绍。
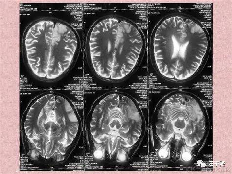
我见没有达到目的,换了一个角度继续问,“Z医生,从我前天拍的核磁共振检查报告来看,明天的手术,切除肿瘤难度大吗? ” 出乎我意料,这次Z医生没有给出诸如“有一定的难度”这样的答复,而是给我讲述了一些常识。放射科出具的核磁共振检查报告结果,就是病人拿给外科大夫看的那一张张黑乎乎的塑料片子,到底是怎么生成的呢?这要从我们是如何进行核磁共振检查说起。
参加核磁共振检查的人,会平躺在一个装置上(有点像电影《普罗米修斯》里女主伊丽莎白-肖博士进行剖腹手术,取出自己体内异形使用的手术仓),这套装置会产生一个特殊的磁场,并发出无线电射频脉冲激发人体内的氢原子核,引起氢原子核共振,并吸收能量。在停止射频脉冲后,氢原子核按特定频率发出射电信号,并将吸收的能量释放出来,被检查装置的接受器收录,通过计算机处理生成图像,这就是做核磁共振成像的一个完整流程。
这个流程Jerry当时一听就明白了,流程和SAP Business By Design和SAP CRM Form Output Management类似,后者由应用程序到SAP各个Business Object去抽取业务数据,这个Data Assemble的过程,好比核磁共振检查时人体内的氢原子核吸收和释放能量到接收器,被接收器收录的过程。该过程结束后,SAP Form/核磁共振显示结果的数据已经就绪了。SAP Form Output过程,就是把Data Assemble过程收集到的数据,通过客户指定的渠道和格式,完成渲染和输出。核磁共振的计算机应用程序,负责把接收器收录到的人体被检查部位受激发的氢原子所释放的数据,渲染成影像科和神经外科医生能识别的图像进行输出。
Z医生告诉我,“你三天前的核磁共振片子结果,仅仅是你当时颅内的一个二维投影,我们可以用来作为参考进行手术难度评估,但它不是评估手术难度的决定性依据。一切都只能到了手术中,进入颅内看到实时情况,才能准确下结论。 ” 我心想,嗯嗯,我明白,核磁共振其实就是颅内实时状态,在某个时间点上给它做的一个镜像(snapshot), 这个镜像把颅内状况从3维降成了2维,根据该镜像无法逆向还原制作镜像那个时间点内的颅内状况。
这个降维操作又让我联想起了以前学函数式编程时了解到的**函数柯里化操作(Currying)**概念. “我们整个医疗团队明天会尽最大的努力去做好你的手术”, Z医生低沉稳定的话音把我的思绪从编程世界里拉回到现实中来。隔着口罩,我无法观察到Z医生的面部表情,然而我从藏在他眼镜镜片后面的双眼中,分明读到了一股自信,而这份自信,我在过去13年的职业生涯中也同样拥有。从我网络上对Z老师过去光鲜履历的搜索结果来分析,我坚信我的手术绝对不是他从医生涯里完成的手术中难度最高的几台之一,所以当术前沟通会结束时,我砰砰直跳的心也逐渐平静下来。
所以,从一个程序员思考问题的角度出发,诸如“我的手术成功率有多高,我的手术难度有多大”这类问题,向医生提出后也往往得不到自己期望中的答复。我的经验就是,如果已经选定了一位医生做手术,那就应该相信医生的专业能力,不要再胡思乱想。
小学的时候,我直接从父亲的书架上搬他的武侠小说来看,很羡慕金庸笔下郭靖,杨过这些受江湖好汉敬仰的大侠,也希望自己长大能像他们一样,在江湖上受人尊重。而小时候,金老笔下郭靖与黄蓉,杨过与小龙女等情侣的爱情描写,对于一心沉浸于降龙十八掌,玄铁剑法,乾坤大挪移等神功的Jerry来说,丝毫没有吸引力,每逢读到这些章节我就极不耐烦地跳过,看来我从小就是一凭实力单身的主。长大之后,值得庆幸的是,我找到了我深爱的另一半,而让我尴尬的是,Jerry最终没有成为大侠,却活成了和金庸书中需要大侠拯救性命的路人甲,路人乙一样。
上图Jerry和救命恩人的对话,在金庸书中随处可见,比如郭靖和杨过们轻描淡写地施展神功,救下了江湖上一个三流小角色之后,小角色跪地磕头,感谢大侠救命之恩,郭大侠杨大侠们却淡淡说道,“些许小事,何足挂齿。” 做不成大侠,能成为被大侠拯救的幸运儿也算不错,这些手持不满15厘米长的手术刀,在我打开的颅内挥洒自如施展绝艺的外科医生们,从此成为了我心中永远崇敬的大侠。他们就是Jerry心中现实版的蝶谷医仙胡青牛,杀人名医平一指,阎王敌薛慕华…
感谢阅读。