【脑电硬件】大脑探测之旅继续,脑成像技术概览(下)

1,120 阅读14分钟

在上一篇文章里,我们介绍了脑电图(EEG),脑磁图(MEG),经颅磁刺激(TMS) 和功能性近红外光谱成像(NIRS) 的脑成像技术。这四种脑成像技术各自利用了与脑活动相关的电、磁和光信号来达到记录脑皮层活动的目的。这几种技术的一个共同的内在不足是对大脑功能记录的空间分辨率低,仅基本限于在头皮部分探测大脑皮层的活动,无法准确有效的探测脑皮层深部和皮层下脑组织的结构和功能活动。


在本篇里,我们将介绍三种核脑影像成像技术,它们体现着完全不同的脑成像物理原理和思路。

  • PET: positron emission tomography 正电子发射成像

  • fMRI: functional magnetic resonance imaging 功能性核磁共振成像

  • MRI: magnetic resonance imaging核磁共振成像


一.正电子发射成像(PET)


正电子发射成像(PET)是核医学领域比较先进的临床检查影像技术。它的原理是将人体代谢所必需的物质,如葡萄糖、蛋白质、核酸、脂肪酸等标记上短寿命的放射性核素制成显像剂(如氟代脱氧葡萄糖,简称FDG)注入人体后进行扫描成像。成像的物理机理利用了放射性同位素的正电子放射衰变特性。这个衰变过程会释放出一个正电子(即一个电子相对应的反粒子),正电子会与生物体中的一个电子遭遇产生电子对湮灭,并产生一个湮灭光子,这一信号可以被PET扫描器捕获。由于人体不同组织的代谢状态不同,这些被核素标记了的物质在人体各种组织中的分布、聚集状态也是不一样的。显影剂可以持续一段时间存在于整个大脑中,因而我们可以获取整个大脑的三维关于结构和功能活动的图像。PET就是通过对这些指标的定量刻画来反映生命代谢活动的情况,达到研究和诊断的目的。

图1. 正电子发射成像(PET)的物理成像机制

图2. 医疗机构中常见的正电子发射成像(PET)设备

PET是惟一可在活体上显示生物分子代谢的影像技术,被广泛用于多种疾病的诊断与鉴别诊断、病情判断、疗效评价、脏器功能研究和新药开发等方面。例如:利用恶性肿瘤组织的高代谢特点可对病变进行诊断和分析(如下图所示)。

图3. PET成像在肿瘤诊断上的应用,常与CT(computerized tomography)共同使用,利用PET可以观察到肿瘤组织的代谢情况,从而提高诊断和治疗的效果。


PET早期在探测负责认知活动的大脑激活区域方面得到了广泛应用,但这一方面的功能随着功能性核磁共振成像(fMRI)的出现逐渐被取代,但在医疗诊断上依然有无法替代的优势。

图4. 看某视觉场景(左)和听故事时(右)的PET大脑功能活动成像


PET成像技术的优点在于灵敏度高,特异性强,但与核磁共振技术相比,PET空间分辨率并不是很好,而且还需要注射轻微放射性的物质,所以患者不能持续进行PET扫描,原则上,出于患者安全的考虑,一年之内禁止两次及以上的PET扫描。


二.核磁共振成像(Magnetic Resonance Imaging,MRI)


核磁共振现象的发现、成像技术的发明和应用上走向成熟是上世纪最伟大的科学技术成就之一。从核磁共振现象的发现到MRI技术成熟这几十年期间,有关核磁共振的研究曾在物理学、化学、生理学或医学领域内获得过6次诺贝尔奖。

图5. MRI/fMRI 设备和使用场景


核磁共振成像利用了核磁共振(nuclear magnetic resonance imaging,简称NMRI)的原理成像,但一个外界不太熟知的背景故事是,出于一般大众对核的恐惧感,”nuclear”一词在对技术的英文称谓中被故意隐去,变成了现今我们熟悉的MRI或者fMRI 等。


核磁共振成像,顾名思义,包含了三个关键要素:核、磁、共振。


核,指的是氢原子核。人体各种组织含有大量的水和碳氢化合物, 所以氢原子无处不在,含量最多,最适宜于成像需求。氢原子核微粒带一个正电荷,具有自旋的特性,旋转时会产生微小磁场,可视为一个个小磁针。氢原子核的自旋并不完全与磁场趋向一致,而是倾斜一个角度θ,称之为进动(precession)。微粒进动的频率取决于磁场强度,也与原子核类型有关。它们之间的关系满足拉莫尔关系:ω0=γB0,即进动角频率ω0是磁场强度B0与磁旋比γ的积。γ是每种核素的一个基本物理常数,也即进动的拉莫尔频率与磁场强度成比例。氢的主要同位素,质子,在人体中丰度大,而且它的磁矩便于检测,因此最适合从它得到核磁共振图像。

图6. 施加衡定强磁场前后氢原子核粒子的运动变化


磁,指的是加上衡定外强磁场(B0)后,大部分粒子的磁场方向与磁场方向相同, 少部分相反,即取向为“平行”和“反向平行”,他们分别对应于粒子的低能和高能两种状态。核磁共振成像利用了一般是借助超导形成的强磁场,如1.5T (tesla, 磁场强度单位),3T,和7T,把生物体内氢原子核进动形成的一个个小磁针从原本无序的排列(整体无磁性)变成一种有序排列的状态(整体呈磁性)。MRI设备一般体积巨大,花费昂贵,最主要原因是需要产生一个高强的磁场。


共振,指的是在已有外在衡定强磁场的条件下,施加另外一个短时的射频磁场B1来使氢原子核微粒进动形成的集体磁化向量发生偏转或旋转,这只有在射频磁场B1的频率和氢原子核微粒进动的拉莫频率一致(共振)时才有可能发生,才能实现能量的传递。射频磁场B1的作用方向一般与主磁场B0垂直。所以这里的共振指的是和氢原子核微粒进动的拉莫频率共振。

图7. 核磁共振基本原理示意图


在射频磁场作用下,氢原子核微粒的集体磁化向量可以分为两个分支:垂直z分量,水平xy分量。射频磁场的作用时间通常是非常短暂的,射频磁场撤去后,在自由进动阶段,磁化向量经过一个称为“弛豫”的过程,恢复它的原始静止位置。弛豫过程的特性由时间常数T1和T2来描述纵向弛豫 (z) 和横向弛豫(xy) 的特征。人体大脑和身体不同组织或组织液具有不同的纵向和横向弛豫特性,核磁共振成像技术最为关键的物理原理就是利用了这一点的特性分别不同的脑组织结构和功能。另外,NMR信号强度与样品中氢核的密度有关,人体中各种组织间含水比例不同,即含氢核数的多少不同,他们之间就存在NMR信号强度的差异。利用这种差异作为特征量,可以把各种组织分开,这就是氢核密度的核磁共振图像。


在核磁共振成像的技术发展方面,美国科学家Paul Lauterbur于1973年发明了在静磁场中使用梯度场去获得磁共振信号的位置,从而可以得到物体的二维图像;英国科学家Peter Mansfield进一步发展了使用梯度场的方法,指出磁共振信号可以用数学方法精确描述,从而使磁共振成像技术成为可能,他发明的快速成像方法为医学磁共振成像临床诊断打下了基础。他俩因在磁共振成像技术方面的突破性成就,获得了2003年诺贝尔医学奖。

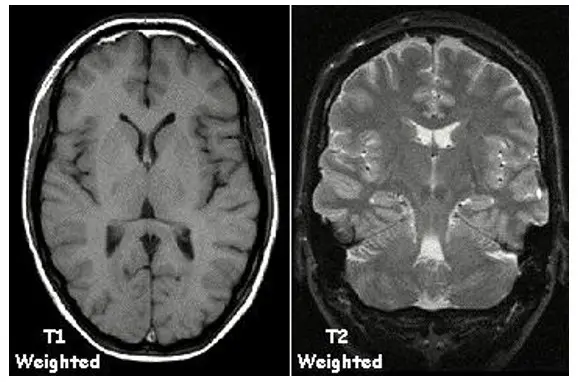
图8. 磁共振扫描中大脑T1加权成像和T2加权成像


核磁共振成像安全,不涉及X射线或使用电离辐射,不需要注射放射性物质,且成像后的软组织结构清晰,能够提供更多的解剖结构信息。但核磁共振成像噪音很大,一般扫描时间较长(单纯结构成像一般需要7分钟左右,高空间分辨率的成像耗时更长)。此外,MRI检测要求体内不能存在金属,有幽闭恐惧症的人也无法参加。


核磁共振成像具有丰富的成像序列和功能发展潜力,这方面至今仍然是非常活跃的研究和应用领域,例如可以通过巧妙的安排成像序列和射频磁场的作用方式来刻画大脑白质,神经纤维的聚集和链接特性,这一成像技术被称为磁共振弥散张量成像技术 (Diffusion Tensor Imaging,DTI), 在科学研究和医疗诊断上有广泛的应用。

图9. 磁共振弥散张量成像形成的大脑纤维追踪


三.功能性核磁共振成像(fMRI)


最后,我们讨论一下从九十年代中期以来,在科研领域应用非常广泛深入的功能性核磁成像技术。在大脑整体成像的要求下,探测各个脑组织的功能性活动,且具有良好的空间分辨率和可接受的时间分辨率,功能性核磁成像技术在这些方面具有无可比拟的优势。功能性核磁共振成像吸收了MRI和PET的技术优势, 通过检测脑组织血流和含氧量变化引起的磁场变化,将原本的结构成像技术MRI发展到了功能成像。


大脑受到外来刺激初期或者处于自发活动的需求,局部脑活动开始增强,耗氧量增加,随之脱氧血红蛋白在刺激开始后快速地上升;之后,由于大脑区域功能被激活,引起局部脑血管扩张,血流量增加,导致大量含氧丰富的血液流入该局部区域,含氧血红蛋白所占比例升高,脱氧血红蛋白比例降低;结束刺激,含氧血红蛋白含量下降,脱氧血红蛋白上升,均趋于平衡状态。


氧合血红蛋白是抗磁性的,与组织的磁化率非常接近,它的浓度改变不影响磁场的均匀性,脱氧血红蛋白是顺磁性的,在血管周边及内部会产生局部梯度磁场,明显缩短横向弛豫时间(T2),引起 T2 加权信号降低(顺磁性物质存在会引起所在环境磁场分布不均匀,导致核磁信号降低)。功能性核磁共振成像的信号依赖于代谢和认知活动相关的局部组织血管的血红蛋白氧含量的变化,所以叫血氧水平依赖脑功能磁共振成像(Blood oxygen-level dependent fMRI,BOLD-fMRI)

图10. 血氧动力学函数描述了在单一刺激下BOLD 信号的随时间变化

图11. 利用fMRI采集的脑活动信号来刻画听句子和看句子时的大脑活动强度的不同


功能性核磁共振成像(fMRI)的独特性在于,比起现有其他大脑功能成像技术,fMRI在识别“认知活动中的大脑”时,不仅时间分辨率更高,就连空间分辨率也可达到毫米水平。借助功能性核磁共振成像,对大脑的研究便可扩展至记忆、注意力、决定做出过程,意识,认知障碍等。在某些情况下,fMRI技术甚至能够识别研究对象所见到的图像或者阅读的词语。


fMRI是一种没有放射性、无创性的检测脑功能动态活动的手段,一次成像可以同时获取功能和解剖图像, 已经被广泛应用于脑的基础研究和临床治疗。利用fMRI,可以对脑功能激活区进行准确的定位。利用静息态功能性核磁共振成像 (Resting-State fMRI)还可以研究不同脑区之间的功能相关性 (functional connectivity)。脑部在静息状态下自发的低频活动的同步化现象广泛存在于听觉、视觉,工作记忆,和执行系统中。许多可重复的研究已经揭示了大脑存在多个即相对独立又相互连接的感知和高级功能执行系统。这些系统的自我状态和相互连接极大程度上和人体的健康和疾病状态相关。

图12. 利用静息态 fMRI的区域相关性刻画大脑的内在基本网络系统[Raichle 2011]


此外,fMRI与弥散张量成像 (DTI) 和我们之前介绍的脑磁图 (MEG),经颅磁刺激 (TMS) 等技术相结合,可得到更多的脑功能活动信息。弥散张量成像可在三维空间内定量分析,无创跟踪脑白质纤维束,fMRI与弥散张量成像技术可以建立激活区域的功能连接网络图,有利于解释结构与功能之间的关系。脑磁图反映神经细胞在不同功能状态下产生的磁场变化,可以提供脑功能的即时信息和组织定位,fMRI与脑磁图技术相结合可以弥补其时间分辨率的不足,可解决脑区域性活动的时间问题;经颅磁刺激可以无创地在皮层产生可传导性电流,从而对刺激位点或有突触联系的皮层兴奋性产生抑制或易化,通过整合fMRI的结果,可以应用于脑损伤和其它疾病的功能神经外科手术。随着fMRI和图像后处理技术的不断改进和完善、高磁场强度MRI的发展,能够使fMRI试验的可重复性和空间定位的准确性大大提高,在脑神经科学、认知和心理等方面的临床和基础研究中的应用将更加深入与广泛。


参考文献

  1. Ogawa, S., Lee, T.M., Nayak, A.S., and Glynn, P. (1990). Oxygenation-sensitive contrast in magnetic resonance image of rodent brain at high magnetic fields. Magn Reson Med 14, 68-78

  2. Bandettini, P.A.; Jesmanowicz, A.; Wong, E.C.; Hyde, J.S. Processing strategies for time-course data sets in functional MRI of the human brain. Magnetic Resonance in Medicine. 1993, 30 (2): 161–173.

  3. McRobbie DW, Moore EA, Graves MJ, Prince MR (2007). MRI from Picture to Proton. Cambridge University Press. p. 1. ISBN 978-1-139-45719-4.

  4. Raichle, M. E., MacLeod, A. M., Snyder, A. Z., Powers, W. J., Gusnard, D. A., & Shulman, G. L. (2001). A default mode of brain function. Proc Natl Acad Sci U S A, 98(2), 676-682.

  5. Raichle ME. (2011). The restless brain. Brain Connect, 1(1), 3-12. doi: 10.1089/brain.2011.0019

  6. Bernard Baars,Nicole Gage. Cognition, Brain, and Consciousness - Introduction to Cognitive Neuroscience, 2nd Edition, Academic Press, February 2010

  7. Gary H. Glover. Overview of Functional Magnetic Resonance Imaging, Neurosurg Clin N Am. 2011 Apr; 22(2): 133–139. doi: 10.1016/j.nec.2010.11.001

  8. Abi Berger. How Does It Work? Positron emission tomography, BMJ. 2003 Jun 28; 326(7404): 1449. doi: 10.1136/bmj.326.7404.1449

  9. https://zh.wikipedia.org/wiki/核磁共振成像https://en.wikipedia.org/wiki/Magnetic_resonance_imaging 

  • 招聘信息

    好未来技术团队正在热招前端、算法、流媒体后台开发等各个方向高级开发工程师岗位,大      家可扫描下方二维码或微信搜索“好未来技术”,点击“技术招聘”栏目了解详情,欢迎感兴趣的伙伴加入我们!