这是Jerry 2020年的第58篇文章,也是汪子熙公众号总共第241篇原创文章。
5月11日我发了一篇文章 可能要暂时停更一段时间,希望时间不会太长,我的初衷是不想无声无息地就停止更文,得给这个号的关注者们有个简短的交代。没想到文章发出来之后很多朋友在文章下留言,以及直接在微信上询问我的身体状况,这里统一向大家说声谢谢,感谢大家的关心。由于微信公众号的限制,只有前100条留言才能显示出来,我只能对余下留了言的朋友说声抱歉,你们的关心我都记在了心里。
这几天对我来说感觉像几十年一样漫长,发生了一些事情让我觉得自己像活在梦中一样,可糟糕的是这一切都不是梦。如果人生就像一个虚拟机镜像一样执行,遇到问题之后销毁然后重新启动一个新的实例,那该有多好?

我还是很想把自己在最近这段特殊时期的一些心路历程记录下来,等我儿子长大后,看到他父亲当年这些文章,会了解到他父亲是如何以乐观的心态,同困难做斗争的。另一方面,不时写点东西也能让大家知道我还处于System Online状态,我还没宕机。
以前看《倚天屠龙记》,张无忌小时候身中玄冥神掌,张三丰以80年功力的纯阳无极功也没能将其治愈,没办法只能将张无忌带到皖北女山湖畔的蝴蝶谷,那里隐居着一位当时医学界排名第一,专治各种疑难杂症,人称“蝶谷医仙”的胡青牛。诊断结果,张无忌的病砸了这位老专家的招牌——胡青牛也找不到治愈张无忌玄冥神掌寒毒的办法,只能采取各种保守治疗,尽量延长病人的寿命。

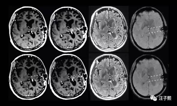
四川大学华西医院,西南地区的朋友们应该都听说过。这里应该是很多医学从业者和病人心中的圣地,但我想除了在这里上学的学生和工作的医生,以及前来就诊的病人外,是没有人愿意没事往这里跑的。
然而同少年时病恹恹的张无忌一样,我最近也被迫天天往华西医院跑了。

张无忌无可奈何,只得自行去医书中查考,胡青牛任他自看,却也不加禁止。张无忌日以继夜,废寝忘食的钻研,不但将胡青牛的十余种著作都翻阅了一过,其余『黄帝内经』、『华佗内昭图』、『王叔和脉经』、『孙思邈千金方』、『千金翼』、『王焘外台秘要』等等医学经典,都一页页的翻阅,只要与医治截心掌之法中所提到的语句有关的,便细读沉思。那「掌伤治法」的最后一项,乃是「玄冥神掌」,述了伤者症状后,在治法 二字之下,注着一字:无。
张无忌为了短期内治疗常遇春的截心掌掌伤,把蝴蝶谷中的很多医书囫囵吞枣地看了一遍。
Jerry之前的文章 记一次SAP开发工程师给微软Azure报incident的体验,也提到自己处理incident和给别的程序员报incident的经历,没想到,这次有医生给我身上这台生物系统报了incident,而且priority还是very high的。一个专业的程序员,在接到incident之后,都是从“问题重现-问题定位-设计解决方案-处理问题-测试”这几个步骤进行的。我最近,凭着Google和金山词霸,也在看相关的英文论文,从病的诱因,诊断,治疗和预后这几个方面来学习,恶补了一大堆理论知识,虽然对我实际可能没什么用,甚至会让我的情绪变得消极,然而我的这些行为都是一个程序员的职业习惯使然——不管遇到什么问题都想刨根究底。


如果说计算机学科的论文少不了各种公式,那么医学界的论文则充斥着各种数字,百分比,曲线图,这些冷冰冰的统计学上的数字看了让人不寒而栗。
最后是我的一句肺腑之言:请大家珍惜看似平常的每一天,珍惜和家人在一起的平淡日子。你眼中看似枯燥乏味,波澜不惊的生活,可能是有些人奢望但再也找不回来的了。
另外对于我的同行,亲爱的程序员们,我也建议大家,像对待自己代码里出现的warnings一样,一丝不苟地认真对待自己身体出现的一些小的异样,发现问题及时去医院检查。

最后祝大家身体健康,生活愉快,感谢阅读。