VTK笔记——医学图像的切片提取(vtkImageReslice)

2,874 阅读2分钟

在读取了医学图像数据后,下一步就需要将它显示出来和进行交互操作。将3D的医学图像以2D的方式呈现,同时切换切片来帮助医学分析。

vtkImageViewer2

一个方便易用的2D图像显示类,它封装了vtkRenderWindow, vtkRender, vtkImageActor和vtkImageMapToWinowLevelColors。同时,包含了一个vtkInteractorStyleImage的交互方式,使得显示和交互变得更加简单。

3D医学图像有很多,不仅只有CT,还有MRI,超声波,X-光等,各具有独特的诊断优势。下面以CT图像数据作为示例。 读取数据 DICOM图像可以使用itk读取,当然vtk也提供了读取类vtkDICOMImageReader。

	auto reader = vtkSmartPointer<vtkDICOMImageReader>::New();
	reader->SetDirectoryName(argv[1]);
	reader->Update();

设置imageViewer 可以设置slice,3维数据的方向,以及窗口大小、窗宽、窗位等等。

	auto imageViewer = vtkSmartPointer<vtkImageViewer2>::New();
	imageViewer->SetInputConnection(reader->GetOutputPort());

	auto interactor = vtkSmartPointer<vtkRenderWindowInteractor>::New();
	imageViewer->SetupInteractor(interactor);
	imageViewer->SetSize(400, 400);
	imageViewer->SetColorLevel(500);
	imageViewer->SetColorWindow(1000);
	imageViewer->SetSliceOrientationToXY(); // z-axis
	imageViewer->GetRenderer()->SetBackground(1, 1, 1);

设置交互方式

	auto myStyle = vtkSmartPointer<myVtkInteractorStyleImage>::New();
	myStyle->SetImageViewer(imageViewer);
	interactor->SetInteractorStyle(myStyle);

自定义交互方式

vtkInteractorStyleImage是默认方式,我们为了通过鼠标滚轮来切换slice,自定义如下:

class myVtkInteractorStyleImage : public vtkInteractorStyleImage
{
public:
	static myVtkInteractorStyleImage* New();
	vtkTypeMacro(myVtkInteractorStyleImage, vtkInteractorStyleImage);

protected:
	vtkImageViewer2* ImageViewer;
	int Slice;
	int MinSlice;
	int MaxSlice;

public:
	void SetImageViewer(vtkImageViewer2* imageViewer)
	{
		this->ImageViewer = imageViewer;
		this->MinSlice = imageViewer->GetSliceMin();
		this->MaxSlice = imageViewer->GetSliceMax();
		this->Slice = (this->MinSlice + this->MaxSlice) / 2;
		this->ImageViewer->SetSlice(this->Slice);
		this->ImageViewer->Render();
	}

protected:
	virtual void OnMouseWheelForward()
	{
		if (this->Slice < this->MaxSlice)
		{
			this->Slice += 1;
			this->ImageViewer->SetSlice(this->Slice);
			this->ImageViewer->Render();
		}
	}

	virtual void OnMouseWheelBackward()
	{
		if (this->Slice > this->MinSlice)
		{
			this->Slice -= 1;
			this->ImageViewer->SetSlice(this->Slice);
			this->ImageViewer->Render();
		}
	}
};

vtkStandardNewMacro(myVtkInteractorStyleImage);

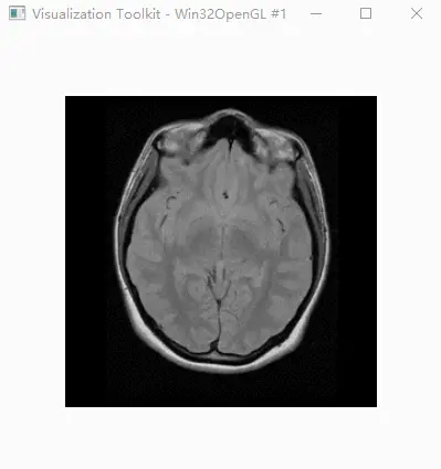
效果

脑部CT图像

在这里插入图片描述

DisplayDICOMSeries. cxx

#include "vtkSmartPointer.h"
#include "vtkObjectFactory.h"
#include "vtkRenderWindow.h"
#include "vtkGenericRenderWindowInteractor.h"
#include "vtkRenderer.h"
#include "vtkActor.h"

#include "vtkDICOMImageReader.h"
#include "vtkImageViewer2.h"
#include "vtkInteractorStyleImage.h"

class myVtkInteractorStyleImage : public vtkInteractorStyleImage
{
public:
	static myVtkInteractorStyleImage* New();
	vtkTypeMacro(myVtkInteractorStyleImage, vtkInteractorStyleImage);

protected:
	vtkImageViewer2* ImageViewer;
	int Slice;
	int MinSlice;
	int MaxSlice;

public:
	void SetImageViewer(vtkImageViewer2* imageViewer)
	{
		this->ImageViewer = imageViewer;
		this->MinSlice = imageViewer->GetSliceMin();
		this->MaxSlice = imageViewer->GetSliceMax();
		this->Slice = (this->MinSlice + this->MaxSlice) / 2;
		this->ImageViewer->SetSlice(this->Slice);
		this->ImageViewer->Render();
	}

protected:
	virtual void OnMouseWheelForward()
	{
		if (this->Slice < this->MaxSlice)
		{
			this->Slice += 1;
			this->ImageViewer->SetSlice(this->Slice);
			this->ImageViewer->Render();
		}
	}

	virtual void OnMouseWheelBackward()
	{
		if (this->Slice > this->MinSlice)
		{
			this->Slice -= 1;
			this->ImageViewer->SetSlice(this->Slice);
			this->ImageViewer->Render();
		}
	}
};

vtkStandardNewMacro(myVtkInteractorStyleImage);

int main(int argc, char* argv[])
{
	if (argc < 2)
	{
		std::cout << "Usage: " << argv[0] << " DicomDirectory" << std::endl;
		return EXIT_FAILURE;
	}

	auto reader = vtkSmartPointer<vtkDICOMImageReader>::New();
	reader->SetDirectoryName(argv[1]);
	reader->Update();

	auto imageViewer = vtkSmartPointer<vtkImageViewer2>::New();
	imageViewer->SetInputConnection(reader->GetOutputPort());

	auto interactor = vtkSmartPointer<vtkRenderWindowInteractor>::New();
	imageViewer->SetupInteractor(interactor);
	imageViewer->SetSize(400, 400);
	imageViewer->SetColorLevel(500);
	imageViewer->SetColorWindow(1000);
	imageViewer->SetSliceOrientationToXY();
	imageViewer->GetRenderer()->SetBackground(1, 1, 1);

	auto myStyle = vtkSmartPointer<myVtkInteractorStyleImage>::New();
	myStyle->SetImageViewer(imageViewer);
	interactor->SetInteractorStyle(myStyle);

	imageViewer->Render();
	imageViewer->GetRenderer()->ResetCamera();
	imageViewer->Render();

	interactor->Start();

	return EXIT_SUCCESS;
}

Example Download

Reference

VTKExamples/Cxx/IO/ReadDICOMSeries

在这里插入图片描述