“一团乱麻”到底什么是烟雾病呢?

101 阅读2分钟

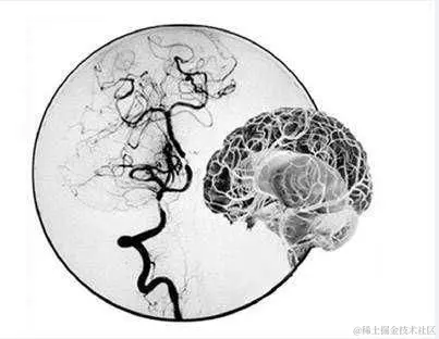
当我们听到“烟雾病”这个名字时,可能会联想到与吸烟有关的疾病,但实际上,这是一种与吸烟毫无关系的罕见脑血管疾病。它的名字来源于在脑血管造影中,病变的血管网看起来像一团乱麻,又似吸烟时吐出的烟雾。

烟雾病,又称脑底异常血管网病,是一种慢性进行性的脑血管疾病。它的主要特点是颈内动脉虹吸部及大脑前、中动脉起始部出现狭窄或闭塞,导致脑底出现异常的小血管网。这些异常的血管网在脑血管造影中呈现出烟雾状的影像,因此得名。

烟雾病的病因至今尚未完全明确,但遗传和环境因素可能与其发病有关。患者可能会出现脑缺血或脑出血的症状,如头痛、偏瘫、失语等。这些症状可能会反复发作,严重影响患者的生活质量。

诊断烟雾病主要依赖于脑血管造影,这是一种通过向脑血管内注射造影剂,利用X线观察脑血管情况的检查方法。此外,头颅CT和MRI等影像学检查也有助于诊断。

治疗烟雾病的方法包括药物治疗和手术治疗。药物治疗主要是对症治疗,如使用血管扩张药、抗凝药等。手术治疗则包括直接血运重建术、间接血运重建术等,旨在改善脑组织的血液供应。

总的来说,烟雾病是一种复杂的脑血管疾病,虽然罕见,但其症状可能对患者的生活造成严重影响。因此,对于疑似烟雾病的患者,应及时就医,接受专业的诊断和治疗。